〒519-0125 三重県亀山市東町1-3-2/駐車場6台完備
JR「亀山駅」より徒歩10分

電話での問合せ・無料相談予約

0120-425-826
診療時間
9:00~12:00/14:00~19:00(最終受付18:30)
※土曜 9:00~12:00/14:00~17:00(最終受付16:30)
※矯正歯科は原則第4土曜日午後(14:00~17:00)
休診日
木曜・日曜・祝日
  • 亀山の矯正歯科として、患者の輝く笑顔を取り戻すための矯正治療に注力。歯科医師歴21年の豊富な知識と経験を活かし、透明で目立ちにくいマウスピース矯正「インビザライン」を月々4,600円~の安い費用でご提供する岡歯科医院

亀山で矯正歯科・歯列矯正なら
岡歯科医院

亀山の矯正歯科で人気がある岡歯科医院の、明るい雰囲気の院内

無意識のうちに、口元を隠して笑っていませんか。
本当はもっと自然に、心から笑いたい──そんな想いに寄り添い、歯科医師として21年間(※)、口元に悩む方の治療に向き合ってきました。

当院は6台分の駐車場を完備し、平日19時まで診療する、仕事帰りに通える歯科医院です。月々4,600円からの分割払いにも対応し、費用負担を抑えながら無理なく通える環境を整えています。

※2025年現在
 

矯正歯科の診療案内

「装置が目立つのが嫌」「痛みが怖い」など、皆さまそれぞれ違ったご不安を抱えていらっしゃるかと思います。

そのため当院では、見た目や痛みなど、その方が心配されているポイントを確認。さらに治療へのご希望もお聞きした上で、患者さま一人ひとりに適した方法を一緒に考えます。

 

薄くて透明な装置を使用する矯正です。周囲に矯正中であると知られにくく、食事や歯磨きの際は取り外しが可能。歯を少しずつ動かす設計のため、従来のワイヤー矯正と比べて痛みが少ないのが特徴です。

難症例にも対応できる矯正です。当院ではご希望いただいた場合、症例によっては目立ちにくいクリアブラケットを使用します。

できる限り抜歯をしないで行う歯列矯正です。健康な歯を守りながら歯並びを整えます。

気になる箇所をピンポイント改善。全体矯正よりも治療期間が短く、安い費用で済むケースが大半です。

歯並びのお悩みを
抱えていませんか?

あなたは今、どんな歯並びでお悩みですか?

当院は口ゴボや出っ歯、八重歯などの幅広い症例に対し、患者さまのご要望を踏まえた治療計画をご提案しています。もしお口の中に気になる歯がありましたら、ぜひ一度見せにいらしてください。

口元が前に出ているように見える口ゴボ(上下顎前突)のイラスト

口ゴボ
(上下顎前突)

上下の歯が前方に突出し口元全体が前に出ている

上の前歯が大きく突き出ている出っ歯(上顎前突)のイラスト

出っ歯
(上顎前突)

上の前歯が前方に大きく突き出している状態

犬歯が外側に向かって生えている八重歯のイラスト

八重歯
 

犬歯が歯列から外れて生えている状態

下の歯が上の歯より前に出た受け口・しゃくれ(反対咬合・下顎前突)のイラスト

受け口・しゃくれ
(反対咬合・下顎前突)

下の歯が上の歯より前に出ている状態

歯が重なり合うように生えた叢生・乱杭歯(ガチャ歯)のイラスト

叢生・乱杭歯
(ガチャ歯)

歯が重なり合ってガタガタに生えている状態

前歯がしっかり噛み合わない開咬(オープンバイト)のイラスト

開咬
(オープンバイト)

上下の歯を噛み合わせても前歯に隙間ができる

噛み合わせが深い過蓋咬合(ディープバイト)のイラスト

過蓋咬合
(ディープバイト)

上の歯が下の歯を深く覆い隠している状態

上下の前歯の先端同士がぶつかる切端咬合のイラスト

切端咬合
 

上下の前歯の先端同士がぶつかっている状態

 

 

当院の矯正歯科が選ばれる
3つの理由

Reason
亀山の矯正歯科で岡歯科医院がおすすめな理由を話す院長

歯科医師として歩み始めて21年、これまで軽度から難症例まで幅広い矯正治療に携わってきました。

患者さまが安心して歯列矯正を受けられるよう、現在も研鑽を続けるとともに、診療環境や料金体系の整理にも取り組んでいます。

Reason01

21年の歯科医師歴が裏付ける
豊富な矯正治療経験

亀山の患者に歯列矯正をおすすめする経験豊富な院長

当院の院長は、歯科医師となってから21年(※)の間、軽度から重度、難症例まで幅広い症例の歯列矯正に携わってきました。特に強みとしているのが、40代50代の矯正治療です。

この年代の方はブリッジやインプラントが入っていることが多く、通常の矯正とは異なるアプローチが求められます。「インプラントがあるから矯正は難しい」と判断する歯科医院も少なくありません。

その点、院長は三重大学医学部附属病院の歯科口腔外科出身の歯科医師。インプラントと天然の歯が混在する複雑なお口の状態でも、安全に歯を動かすための知識技術を習得しました。

歯科口腔外科での経験があるからこそ、難度の高い40代・50代の治療も成功に導いてきた実績があります。あなたの歯並びも当院で治療できるかもしれませんので、まずは無料相談にお越しください。

※2025年現在

Reason02

矯正経験者をはじめとするスタッフが
気持ちに寄り添い治療をサポート

亀山の歯科矯正で人気の当院に勤務するスタッフたち

当院には、実際に矯正治療を経験した歯科衛生士が在籍しています。

「装置が気になって人前で笑えない」

「食事の時はどうすればいい?」

治療を始める際、このような不安を抱く方は少なくありません。だからこそ、矯正経験者として具体的な工夫をお伝えし、不安解消に努めています。

こうしたスタッフが中心となり、患者さまの気持ちに寄り添いながら、治療がスムーズに進むようサポートいたします。

当院はデンタルローンによるお支払いに対応しています。症例の程度に応じて、月々4,600~9,400円の分割払い(120回払い)が可能です。

相談料・診断料・リテーナー代は治療費に含まれているため、基本的に追加料金はかかりません。さらに医療費控除を活用すれば、実質的な負担を軽減できます。

まとまった初期費用がなくても大丈夫ですので、亀山の矯正歯科で、安い費用で治療を受けたい方は前向きにご検討ください。

軽度 : インビザライン・ライト

治療費 42万9千円(上下) 月々4,600

重度 : インビザライン・フル
 (インビザライン・コンプリヘンシブ)

治療費 88万円(上下) 月々9,400

(税込み)

  • 私の歯並びは、どう変わるの?
  • 私の歯並びは、どうやって治すの?
  • 治療費や治療期間は?

歯列矯正の疑問や不安を解消するため、当院では30~60分の無料相談を実施しています。

無料相談ではヒアリング後、すべての患者さまに対し、最新の口腔内スキャナー「iTero」を用いた簡易シミュレーションを実施。実際の歯の動き方を動画でご覧いただきながら、治療の流れをわかりやすくご説明します。

もちろん、相談したからといって、必ず歯科矯正を始める必要はありません。この機会に、歯列矯正をした未来の歯並びを確認してみませんか?

費用の負担を少しでも
軽くするために

歯列矯正の費用負担を気にされる方は少なくありません。そのため当院では、どなたでも安心して治療を始められるよう、わかりやすい料金体系を整えています。実際の負担額を減らせる医療費控除も、ぜひ併せてご確認ください。
 

相談料・診断料・
リテーナー代が無料

亀山で歯の矯正の総額を安い値段に抑えた岡歯科医院の院内写真

当院がご提示する治療費には、初回の相談料、治療計画作成のための診断料(クリンチェック)、治療後の後戻りを防ぐリテーナー代が含まれているのが特徴です。他院では別料金なケースが多いこれらの費用を無料にすることで、総額を抑えています。

医療費控除が使える

実質の費用負担を軽くできる医療費控除のイメージ

歯列矯正は医療費控除の対象となり、年収に応じて治療費の一部が還付されます。例えば年収360万円の方が42万9千円の歯科矯正治療を受けた場合、約9万8千円が戻ってくるため、実質の負担額は33万円程度(概算)です。

歯列矯正は継続的な通院が必要だからこそ、通いやすさは重要なポイント。亀山駅から近く、お仕事帰りや休日でも通院できる当院で、時間に余裕のある歯科矯正を始めませんか?
 

亀山市内はもちろん、鈴鹿市や津市からお車でお越しの患者さまも安心して通えるよう、駐車場を完備しています。電車でお越しの場合、当院までのアクセスはJR「亀山駅」から徒歩約10分です。

住所
〒519-0125
三重県亀山市東町1-3-2

診療時間
9:00~12:00
13:00〜19:00

▲:14:00~17:00
 

月曜~水曜・金曜は19時まで診療しているため、お仕事や学校帰りでもご来院いただけます。さらに土曜17時まで診療しており、無理のない範囲で通院を継続しやすいのが特徴。

「亀山で歯科矯正をしたいけれど、忙しくて時間がない」という方がいらっしゃいましたら、当院での治療がおすすめです。

 

当院の矯正歯科の特徴

Feature

単に歯をきれいに並べるだけでなく、機能性美しさを兼ね備えた口元を実現するために、当院で取り組んでいることをご紹介します。

前歯と奥歯をセットで整える
お口全体の治療が可能

前歯と奥歯を総合的に治療できるマウスピース装置

重症の症状の場合、前歯だけを動かす部分矯正では噛み合わせの問題が残るケースがあります。噛み合わせが改善されないと、お顔のバランスや全身の健康に悪影響を及ぼしかねません。

その点、当院が行っているマウスピース矯正「インビザライン」は、前歯だけでなく奥歯も動かすことが可能。中度や重度の歯並びにも対応できる全体矯正により、見た目の美しさと機能性を両立します。

すべての患者さまの無料相談
簡易シミュレーションを実施

矯正前後の歯並びの変化がわかるシミュレーション画像

無料相談にお越しいただいたすべての方に、最新の口腔内スキャナー「iTero」を用いた簡易シミュレーションを実施しています。

矯正前後の歯並び変化を、画面上で視覚的に確認することが可能です。

「実際にどんな歯並びになるんだろう?」
「本当にきれいな口元になるの?」

そんな疑問や不安をお持ちでしたら、ぜひ気軽に無料相談をご予約ください。無料相談が、治療への不安解消・モチベーション向上につながれば幸いです。

インプラントアンカー併用で
難症例にも対応

インプラントアンカーが埋め込まれた模型

マウスピース矯正やワイヤー矯正だけでは治療が難しい重度難症例の矯正治療を、インプラントアンカーとの併用で可能にしています。

インプラントアンカーとは、ごく小さな矯正用のインプラント(ネジ)のこと。こちらを一時的にあごの骨に埋め込むことで、動きにくい歯を移動させます。

なお、インプラントアンカーは治療費に含まれていますので無料です。追加費用による金銭的なご負担はありません。

矯正中の虫歯歯周病
当院がしっかり予防

亀山で歯の矯正だけでなく予防もおすすめする岡歯科医院の診療室

歯科矯正を行っている間は、装置の影響で虫歯や歯周病のリスクが高まります。当院は治療だけでなく予防にも力を入れていますのでご安心ください。

矯正前の虫歯・歯周病治療、矯正中のクリーニングやブラッシング指導、そして矯正後のメインテナンスもすべて院内対応。総合歯科医院として、患者さまのお口の健康を守ります。

歯列矯正のビフォーアフター

Case introduction

実際の治療でどのような変化が期待できるのか、当院で歯並びを矯正された患者さまの症例をご紹介します。
 

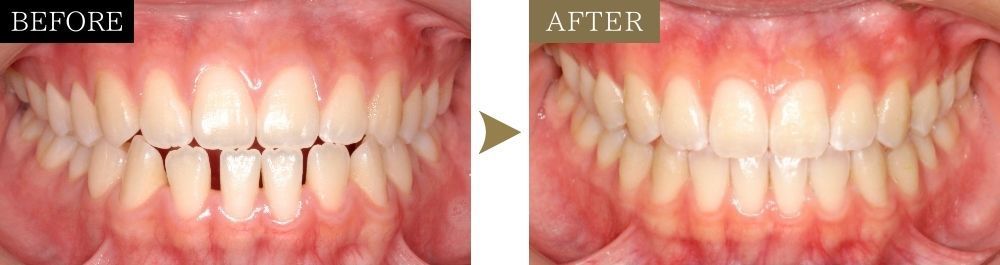
八重歯・ガタガタ 20代女性

八重歯・ガタガタの治療前後比較写真(正面)

主訴

八重歯と歯並びを綺麗にしたい
治療内容
インビザライン
治療費
880,000円(税込)
治療期間・回数

1年11ヶ月・22回

リスク・副作用

装着時間を守らないと計画通りに歯が動かない、治療期間が延びる場合があります

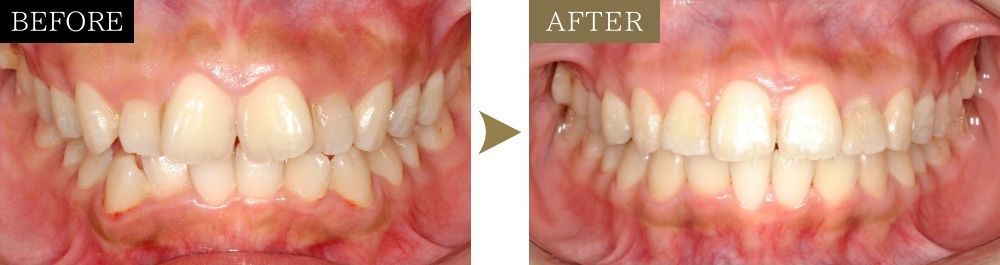
すきっ歯 20代女性

すきっ歯の治療前後比較写真(正面)

主訴

歯の隙間を埋めたい
治療内容
インビザライン
治療費
880,000円(税込)
治療期間・回数

1年10ヶ月・13回

リスク・副作用

装着時間を守らないと計画通りに歯が動かない、治療期間が延びる場合があります

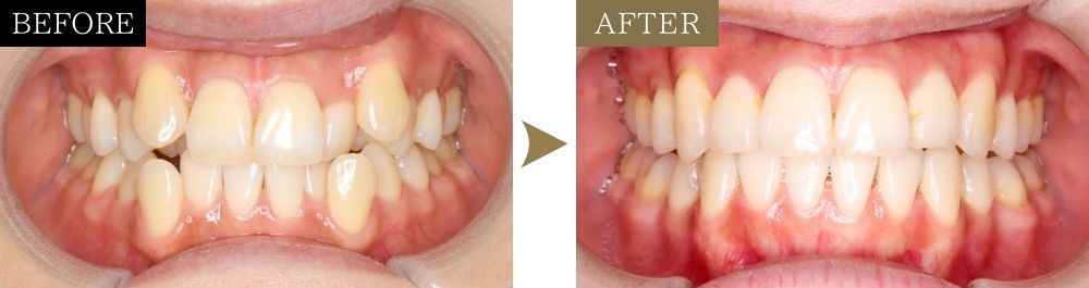
前歯の乱れ 20代女性

前歯の乱れの治療前後比較写真(正面)

主訴

前歯の歯並びを治したい
治療内容
インビザライン
治療費
880,000円(税込)
治療期間・回数

2年2ヶ月・20回

リスク・副作用

装着時間を守らないと計画通りに歯が動かない、治療期間が延びる場合があります

年齢別・歯科矯正が人気の理由

どの年代にも、矯正治療を受ける理由があります。矯正は見た目にもお口の健康にもメリットがある治療だからです。

歯並びが整うと歯磨きの効率が上がり、虫歯や歯周病のリスクが低下します。さらに噛み合わせへの負担が減ることで、あご周りの違和感が軽減するケースも珍しくありません。

「もっときれいでいたいから、歯並びを治したい」
「QOL(生活の質)を下げたくないから、歯の機能健康維持したい」

こんなお望みをお持ちでしたら、当院の無料相談でぜひお聞かせください。
 

20代向け矯正歯科治療の詳細ページへのリンク

20代の矯正治療

どんな瞬間も、笑顔に自信を持って過ごしたいから

30代向け矯正歯科治療の詳細ページへのリンク

30代の矯正治療

自己投資の一環として気になる歯並びを治したいから

40・50代向け矯正歯科治療の詳細ページへのリンク

40・50代の矯正治療

健康も美しさも両立させ、人生を豊かにしたいから

60代向け矯正歯科治療の詳細ページへのリンク

60代の矯正治療

いつまでも自分の歯で食事や会話を楽しみたいから

矯正治療の流れ

Flow
無料相談・カウンセリングの様子
 無料相談
 カウンセリング
岡歯科医院が導入する歯科用CT
 精密検査
治療計画を患者に説明する院長
 治療計画
(クリンチェック)
歯列矯正の契約書類に記入するイメージ
 ご契約
診療室のイメージ
 治療開始
経過観察で口を開けて診察を受ける様子
 治療の経過観察
治療終了を喜ぶ女性患者
 治療終了
リテーナーを手に持つ様子
 保定期間に移行

よくあるご質問

歯列矯正をご検討中の方から寄せられる疑問や不安にお答えします。治療前の参考にしていただければ幸いです。

矯正治療の費用はどれくらいかかる?


軽度の症例(インビザライン・ライト)で総額42万9千円、重度の症例(インビザライン・フル)で88万円です。相談料・診断料・リテーナー代がすべて含まれています。

また、デンタルローンなら月々4,600~9,400円分割払いも可能です。

詳しい費用は実際にお口を拝見してからご案内いたします。亀山で歯列矯正を検討されていて「なるべく安い費用で矯正を始めたい」とお考えの方は、無料相談にお越しください。

治療期間はどの程度必要?


症状の程度や選択する治療法によって異なりますが、一般的には1~3年程度です。軽度の場合は1年程度で治療が終了するケースも少なくありません。

個人差がありますので、正確な治療期間については精密検査後にお伝えいたします。なお無料相談では、おおよその目安ご説明することが可能です。

矯正中の痛みはある?


マウスピース矯正は歯を0.25mmずつ動かすため、ワイヤー矯正と比べて痛み少ないのが特徴です。新しいマウスピースに交換した直後は2〜3日程度締め付け感を感じることがありますが、我慢できないほどの強い痛みではありません。

当院には歯列矯正を経験したスタッフがおり、痛みへの対処法や日常生活の工夫についてアドバイスが行えます。不安なことがあればお声がけください。

マウスピース矯正とワイヤー矯正の違いは?


それぞれに特徴があり、患者さまの症状やライフスタイルによって最適な選択は変わります。

マウスピース矯正は透明で目立ちにくく、取り外しができるため食事や歯磨きの方法が変わりません。ワイヤー矯正と比べて痛みが少ない点、金属アレルギーの方が安心して使用できる点もメリットです。ただし、1日の装着時間が決まっています。

ワイヤー矯正は、複雑な歯の移動が必要な症例など、幅広い歯並びの治療に対応可能な矯正法です。24時間装置を着けるため、確実に治療が進みます。

当院では患者さまのご希望を伺いながら、一人ひとりに適した治療法をご提案いたします。

矯正中に虫歯になった場合は?


当院は矯正歯科だけでなく一般歯科にも対応していますので、虫歯が見つかった場合もすぐに治療可能です。

マウスピース矯正の場合は、装置を外して通常通り虫歯治療を行えます。小さな虫歯なら、矯正治療と並行して進められることも。またワイヤー矯正の場合も、装置をつけたまま、または一部を外して治療できます。

矯正中のお口の健康管理もしっかりサポートいたしますので、安心してお越しください。

治療後に後戻りすることはある?


矯正直後は歯が元の位置に戻ろうとする力が働くため、リテーナー(保定装置)の装着が必要です。
リテーナーを指示通りに使用していただければ、きれいな歯並びを長期間維持できます。

当院ではリテーナー代が治療費に含まれているため、追加費用かかりません

ただし、加齢や生活習慣により多少の変化が生じる場合がありますので、定期的なチェックをおすすめしています。美しい歯並びを保てるようサポートしますので、保定期間中も3か月から半年ごとに矯正歯科にご来院ください。

はじめまして。岡歯科医院の院長、岡 知道(おか ともみち)と申します。

「歯並びが気になって笑えない
「人と話すとき口元を隠したい」
写真を撮られたくない」
「自分の笑顔が好きじゃない

そんな患者さまに、自信を持って笑えるようになってほしい。それが私の願いです。

私は三重大学医学部附属病院の歯科口腔外科に入局後、歯科医師として21年間(※)、多くの患者さまの矯正治療に携わってきました。その中で、歯並びが美しく整うと、本来の笑顔を取り戻せることを知ったのです。

だからこそ当院では、一人ひとりの役に立ち、お悩みを解決したいという想いのもと、矯正治療に力を入れています。

装置が外れ、患者さまが心からの笑顔になれる日を楽しみに、一緒に治療を進めていければ幸いです。まずは無料相談でお会いできるのを楽しみにしております。

※2025年現在

プロフィール

経歴

  • 2004年3月 神奈川歯科大学 卒業
  • 2004年4月 三重大学医学部附属病院歯科口腔外科 入局
  • 2007年4月 三重県内開業医 勤務

資格

  • 歯科医師

「私の歯並びでも本当に矯正できるの?」
「歯列矯正の費用が心配...」

そんな不安を抱えている方こそ、当院の無料相談にお越しください。

亀山で矯正歯科をお探しの皆さまが満足できる歯列矯正を受けられるよう、わかりやすいご説明を心がけ、ご質問にもしっかりとお答えします。

相談したからといって、矯正治療を強要することは決してありません。「まずは話を聞いてみよう」という感覚でお越しいただいて結構です。あなたの明るい笑顔を取り戻すための第一歩として、無料相談を予約してみませんか?

診療時間

 
午前
午後

午前:9:00~12:00
午後:14:00~19:00
※最終受付18:30
※矯正歯科は原則第4土曜日午後(14:00~17:00)
▲:14:00~17:00(最終受付16:30)

アクセス

〒519-0125
三重県亀山市東町1-3-2/駐車場6台完備